Oral surgery and tooth extraction

What is Oral Surgery?

Oral surgery encompasses any surgical procedure performed within the oral cavity (mouth). This includes a variety of procedures such as:

  • Tooth extractions
  • Tissue biopsies
  • Exposure of impacted teeth for orthodontic purposes
  • Enucleation of cystic lesions or tumors in the jawbones

The most common oral surgical procedure is the extraction (surgical removal) of impacted or unerupted teeth, particularly wisdom teeth. Sometimes, a healthy and fully erupted tooth may be removed to create space for orthodontic treatment.

It’s not uncommon for young people to have an unerupted, impacted canine tooth that requires exposure so an orthodontist can apply traction to guide it to its normal position in the jawbone.

Why is Wisdom Tooth Removal Common?

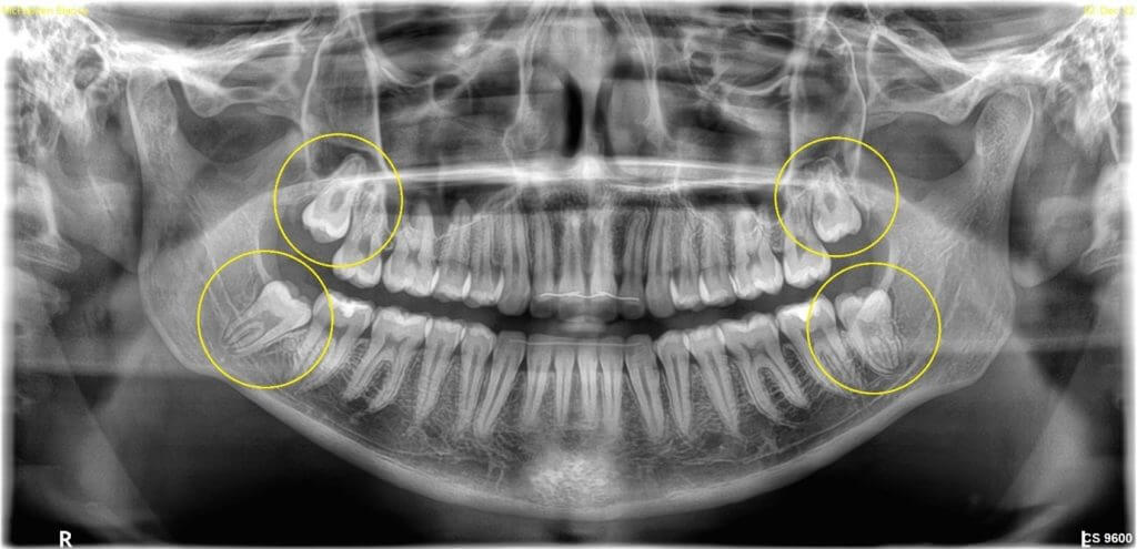
Wisdom teeth are the last to emerge in the mouth and often have little space in the jawbone to erupt fully in an upright position, leading to impaction (as shown in the panoramic X-ray below).

Panoramic X-ray showing top and bottom teeth, with impacted and unerupted upper and lower wisdom teeth.

Not every impacted tooth needs removal. Indications for removal include:

  • Risk of decay or damage to adjacent teeth Example: An impacted lower right wisdom tooth causing decay on the back surface of the adjacent molar. Ideally, the wisdom tooth should be removed before this occurs.

  • Potential to cause tooth crowding, especially in young patients who have undergone orthodontic treatment

  • Association with cysts (fluid-filled sacs) or tumor formation Example: A large cystic lesion (about 60 mm in diameter) associated with an impacted lower third molar (see crosshair photo below).

  • Recurrent infections, pain, swelling, bad taste or smell, and occasionally abscesses or facial swelling that may require emergency hospital admission

Exposure of a Tooth for Orthodontic Treatment

Another oral surgery procedure is the exposure of an impacted adult tooth for orthodontic traction, directing the tooth to a normal position (as illustrated in the next photo).

Exposure of the top right adult canine tooth and placement of a gold button with a chain. The orthodontist will use the free end of the chain to redirect the canine tooth to its normal position.

Our Treatment Approach

High-quality treatment by an experienced oral and maxillofacial surgeon like Dr. Muammar Abu-Serriah is essential to minimise the risk of infection, nerve damage, or damage to other teeth.

We are committed to timely consultations and providing patients with all necessary information to make informed decisions. We offer surgery under local anesthesia, intravenous sedation, or general anesthesia. As affiliates with all private insurance providers, we work effectively with them and maintain operating lists in multiple facilities to minimise waiting times.

Where to Refer?

Private:
Auckland Head & Neck Specialists, MercyAscot,
100 Mountain Road Epsom.
E-mail: info@ahns.co.nz

Greville Dental (Visiting Surgeon), 18 Hauraki Crescent, Pinehill. E-mail: info@ofhnsurgery.co.nz